Terugtrekkend Tandvlees: Oorzaken, Vroege Symptomen en Effectieve Behandelopties voor Gezond Tandvlees

Terugtrekkend Tandvlees

Terugtrekkend Tandvlees: Oorzaken, Vroege Symptomen en Effectieve Behandelopties voor Gezond Tandvlees

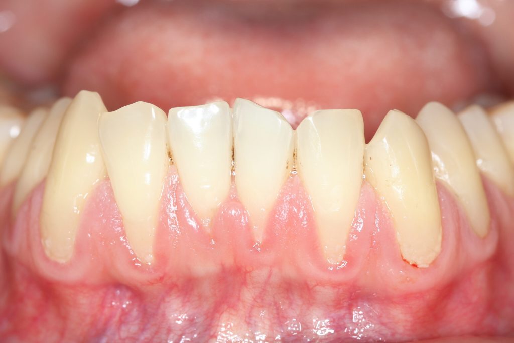
Zijn uw tanden langer gaan lijken dan voorheen? Terugtrekkend tandvlees ontstaat wanneer het tandvlees zich terugtrekt van het tandoppervlak, vaak gepaard gaand met bloedingen en gevoeligheid. Dit is een vorm van parodontale aandoening en kan een teken zijn van een slechte mondgezondheid — met als mogelijk gevolg tandverlies.

Bij DentalZorg bieden we diverse behandelingen voor terugtrekkend tandvlees. Onze specialisten kunnen de aandoening vroegtijdig opsporen en behandelen. Hoe eerder u erbij bent, hoe beter het resultaat.

Symptomen van Terugtrekkend Tandvlees

“Gezond tandvlees bloedt niet, trekt zich niet terug en doet geen pijn. Als uw tandvlees zich terugtrekt, geeft uw lichaam aan dat er iets mis is,” aldus Dr. Harold Katz.

Hoewel het in het begin niet altijd opvalt, zijn dit de meest voorkomende symptomen:

  • Tanden lijken langer dan normaal 
  • Verhoogde gevoeligheid voor warme, koude of zoete voedingsmiddelen 
  • Een inkeping of groef bij de tandvleesrand 
  • Bloedend tandvlees tijdens het poetsen of flossen 
  • Loszittende tanden of een veranderende beet 
  • Rood, gezwollen of gevoelig tandvlees 

Oorzaken van Terugtrekkend Tandvlees

Hoewel een slechte mondhygiëne een veelvoorkomende oorzaak is, kan tandvlees ook terugtrekken bij mensen met een goede verzorging. Parodontitis is een vergevorderd stadium van gingivitis en begint met ophoping van bacteriën en tandplak. Dit tast het tandvlees aan, waardoor het zich terugtrekt. Mogelijke oorzaken zijn:

1. Slechte Mondhygiëne

Onvoldoende poetsen en flossen leidt tot tandplak en tandsteen, wat parodontale aandoeningen en terugtrekkend tandvlees veroorzaakt.
“Parodontitis is een stille vernietiger. De meeste mensen merken het pas als het al vergevorderd is.”
– Dr. Mark Burhenne, DDS, oprichter van Ask the Dentist

2. Te Hard Poetsen

Het gebruik van een harde tandenborstel of te krachtig poetsen kan het tandvlees beschadigen. Zie uw tandvlees als zacht weefsel, niet als iets dat geschrobd moet worden.

3. Erfelijkheid

Sommige mensen zijn genetisch vatbaarder voor tandvleesproblemen, zelfs met goede mondverzorging. Ongeveer 30% van de mensen heeft aanleg voor tandvleesaandoeningen.

4. Tandenknarsen of Scheve Tanden

Bruxisme (tandenknarsen) en een verkeerde stand van de tanden zorgen voor ongelijke druk op het tandvlees, wat leidt tot terugtrekking.

Behandeling van Terugtrekkend Tandvlees

Als uw tandvlees zich al heeft teruggetrokken: raak niet in paniek, maar onderneem actie. Vroege behandeling kan onomkeerbare schade en tandverlies voorkomen. Er zijn twee behandelopties:

Niet-chirurgische Behandelingen

  • Diepe reiniging (scaling en rootplaning): Verwijdert tandplak en tandsteen onder de tandvleesrand om genezing te bevorderen. 
  • Desensibiliserende middelen of bonding: Verminderen gevoeligheid en beschermen blootliggende wortels. 
  • Gebitsbeschermers: Bij tandenknarsen, vooral ’s nachts. 

Chirurgische Behandelingen

Bij ernstigere gevallen kan de tandarts adviseren:

  • Tandvleestransplantatie: Weefsel van het gehemelte of donorweefsel wordt gebruikt om blootliggende wortels te bedekken. 
  • Pinhole Surgical Technique (PST): Een minder ingrijpende manier om bestaand tandvlees te verplaatsen. 

Raadpleeg altijd een parodontoloog als u veranderingen aan uw tandvlees opmerkt. Vroege opsporing voorkomt tandverlies.

Terugtrekkend Tandvlees Voorkomen

Goede mondzorg is essentieel om terugtrekkend tandvlees te voorkomen. Let op het volgende:

  • Gebruik een zachte tandenborstel en poets onder een hoek van 45 graden 
  • Sla nooit het dagelijks flossen over – essentieel om bacteriën tussen tanden te verwijderen 
  • Gebruik een alcoholvrije mondspoeling om uitdroging van het tandvlees te voorkomen 
  • Bezoek uw tandarts elke 6 maanden voor controle en professionele reiniging 

Vermijd Risicofactoren

  • Stop met roken of vapen; tabak verzwakt het tandvlees 
  • Behandel tandenknarsen met een gebitsbeschermer of stressverminderende technieken 
  • Laat scheve tanden corrigeren met orthodontische behandeling indien nodig 

Conclusie

Een van de beste manieren om terugtrekkend tandvlees te voorkomen is regelmatige controle bij uw tandarts. Zelfs als u geen klachten heeft, kan een tandarts beginnende tandvleesaandoeningen vroegtijdig signaleren.

Goed poetsen en flossen verwijdert veel plak, maar tandsteen vereist een professionele reiniging. Omdat tandsteen een belangrijke veroorzaker is van tandvleesproblemen, zijn die tweejaarlijkse controles geen luxe — maar noodzaak.

Veelgestelde Vragen (FAQ)

Wat kan ik doen tegen terugtrekkend tandvlees?

Bezoek elke 6 maanden uw tandarts. Vroege behandelingen zoals scaling en bonding kunnen de terugtrekking stoppen. Verbeter ook uw dagelijkse mondverzorging.

Ik proef bloed in mijn mond, hoe komt dat?

Een bloedige smaak in de mond kan een teken zijn van ontstoken tandvlees of beginnende parodontitis.

Welke tekorten veroorzaken terugtrekkend tandvlees?

Een tekort aan vitamine C kan het tandvlees verzwakken. Ook lage niveaus van vitamine D en calcium kunnen de gezondheid van tandvlees en bot aantasten.

Kan ik thuis iets doen tegen terugtrekkend tandvlees?

U kunt de terugtrekking vertragen door voorzichtig te poetsen met een zachte borstel, dagelijks te flossen en uw mond te spoelen met zout water of een antibacteriële mondspoeling. Maar als het tandvlees al is teruggetrokken, is professionele behandeling noodzakelijk.

Locatie Distelplein

Distelplein

(020)-6352666

Amsterdam, Distelplein

Distelplein 16, 1031 XH Amsterdam

Locatie Kamperfoelieweg

Kamperfoelieweg

(020)-6320728

Amsterdam, Kamperfoelieweg

Kamperfoelieweg 9, 1032 HD Amsterdam

Locatie Zaandam

Zaandam

(075)-6555500

Zaandam

Rustenburg 118, 1506 AZ Zaandam, Netherlands

E-Mail

vragen@dentalzorg.nl

WhatsApp

(075)-6555500

Openingstijden

Maandag:

08.00-17.30 uur (telefonisch bereikbaar vanaf 7:00 uur)

Dinsdag:

0800-17.30 uur (telefonisch bereikbaar vanaf 7:00 uur)

tot 20.00 uur in Zaandam
(telefonisch bereikbaar vanaf 7:00 tot 17:30 uur)

Woensdag:

0800-17.30 uur (telefonisch bereikbaar vanaf 7:00 uur)

Donderdag:

08.00-17.30 uur (telefonisch bereikbaar vanaf 7:00 uur)

tot 20.00 uur in Zaandam (telefonisch bereikbaar vanaf 7:00 tot 17:30 uur)

Vrijdag:

08.00-17.30 uur (telefonisch bereikbaar vanaf 7:00 uur)

Zaterdag:

10:00-15:00 uur

Zondag:

Gesloten

Zoek, vind en waardeer zorgaanbieders op ZorgkaartNederland.nl
Patiëntenfederatie Nederland
review stars

8.1

Zoek, vind en waardeer zorgaanbieders op ZorgkaartNederland.nl
Patiëntenfederatie Nederland

DentalZorg, locatie Zaandam is 42 keer gewaardeerd en heeft een gemiddeld cijfer van 8.9 .

Bekijk alle waarderingen of plaats een waardering

review stars

8.9

Zoek, vind en waardeer zorgaanbieders op ZorgkaartNederland.nl
Patiëntenfederatie Nederland

DentalZorg, locatie Amsterdam Distelplein is 25 keer gewaardeerd en heeft een gemiddeld cijfer van 8.3 .

Bekijk alle waarderingen of plaats een waardering

review stars

8.3