De belangrijkste redenen zijn:
- Verbetering van kauwen en bijten
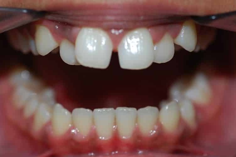
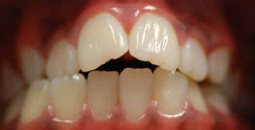
De functie van het gebit is om te kauwen. Wanneer je tanden en kiezen scheef staan, zul je al gauw merken dat kauwen lastiger wordt. Dit kan zelfs overgaan tot zeer pijnlijke kaakklachten. Klachten aan de kaak merk je al gauw. Blijf daarom niet te lang zitten met de vraag of je een beugel nodig hebt. - Hygiëne en onderhoud van het gebit
Een schots en scheef gebit is veel lastiger te onderhouden dan wanneer je tanden recht staan. Tandenstokers zullen niet op de plek komen waarvoor ze bedoeld zijn. Onvoldoende hygiëne zorgt voor tandbederf, zoals gaatjes of tandvleesziekten. Dit kan uiteindelijk zorgen voor het verlies van tanden. Om dit tegen te gaan, is een beugel raadzaam. - Verbetering van het uiterlijk
Het uiterlijk is een belangrijk onderdeel van het zelfvertrouwen. Een beugel nemen voor het verbeteren van het zelfvertrouwen wordt ook wel een esthetisch argument genoemd. Esthetiek staat voor uitstraling en een positieve uitstraling zorgt voor zelfvertrouwen. En wat helpt er niet beter om je dag te beginnen met een stralend gebit en een mooie glimlach? - Voorkomen van afbraak en slijtage
Scheve tanden zorgen sneller voor afbraak en slijtage. Dit komt door ongelijkmatig gebruik van het gebit, bijvoorbeeld bij knarsen of klemmen. Met een beugel zorg je ervoor dat het gewicht en gebruik van het gebit wordt gecorrigeerd. Na deze behandeling kan een specialist bij Dentalzorg slijtageplekken onzichtbaar herstellen.







